补牙要趁早

2023-05-18 23:00:13

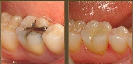
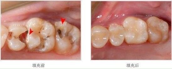
        俗话说:小洞不补,大洞吃苦。蛀牙是牙齿健康的天敌,很多人从孩童时期就开始蛀牙,蛀牙不仅会导致牙齿疼痛而且长期蛀牙会龋坏牙齿,由浅入深的龋坏,牙齿里形成深深的牙洞,而此时只有及时的补牙才能防止蛀牙的进一步发展。因此医师提醒:补牙一定要趁早。


补牙为什么要趁早

      

       如果患了蛀牙(龋病)就应尽可能地早修补,因为龋洞经过修补后可以阻止龋病病变的发展,及早恢复牙齿的功能,保持牙列的完整。

       若不进行及时治疗,病变就会越来越大,从浅龋发展到深龋,对冷热酸甜等食物刺激敏感;当损伤到达牙髓,引起牙髓炎,此时牙痛会十分严重;当病变再进一步发展,会引起根尖炎、根尖周脓肿,甚至颌骨骨髓炎,牙齿脱落缺失。牙齿的龋坏、缺失,会影响咀嚼,加重胃肠负担,进而影响身体健康。

补牙的好处在哪里

1、补牙能有效防止蛀牙病变的继续发展,解除蛀牙导致的各种牙周疾病的痛苦,并且能避免牙齿脱落;

2、补牙能有效恢复牙齿的咀嚼功能。蛀牙引发牙痛、牙龈发炎、食物塞牙,严重影响了牙齿的咀嚼功能,及时补牙能有效保护牙齿,避免牙齿的脱落。

3、恢复牙齿的自然形态。牙齿的色泽、形态直接影响面部的美观,尤其是前牙的形态对人的心理、情绪有至关重要的作用。

补牙后要注意什么


1.  树脂补牙后的当天,不可刷牙,以防触碰引起补牙材料的脱落。

2.  补牙材料的凝固需要一定的时间,因此补牙后2小时内应忌食,2小时后,可适当吃些清淡、温和的流食及半流食;如牛奶、面包、粥及汤类。

3.  补牙后的牙体,其咀嚼功能较真牙差,因此补牙后应注意口腔的防护,切不可咬过硬的食物。

4.  若龋洞较大,补牙后,牙体修复后往往由于牙体在咀嚼时易发生牙折,为此,这类牙齿补牙后应根据医师的建议及时做牙冠给予保护。

5.  补牙后如有轻微的疼痛及不适是正常的,过一段时间方可适应,而如果补牙后疼痛非但不减轻,反而进一步加重,则应及时让主治医师进行进一步的调整修复。

     最后,小编提醒大家,在日常生活中要注意口腔卫生,早晚刷牙,同时,应该定期看牙医,进行口腔检查和洁牙,及时去除牙菌斑和牙结石,减少牙菌斑和结石对牙齿的伤害。



友情链接

Copyright © 2023 All Rights Reserved 版权所有 九江牙医推荐联盟