2、牙体预备过程中,容易去净牙齿龋坏部分,保持牙齿长期健康;
3、边缘位于龈上自洁区,可高度抛光,不易附着菌斑,易清洁,利于牙周组织的健康;
5、邻面龋坏造成的缺损,能正确的恢复邻面接触点的部位,大小,松紧等;
7、嵌体的另一个优点是,因为它的整个制作过程是在口外完成的,所以它还可以很好的恢复原来牙齿的外形,恢复原来牙齿的咀嚼效率。而这一点,是传统补牙无论如何都无法比拟。
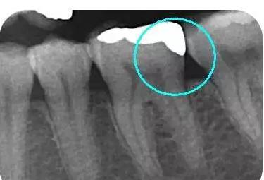
从下面这张X线中可以看出,嵌体远中边缘没有悬突,与牙体边缘密合相接。
这些嵌体,在最终戴如患者口内的时候,真是的非常的完美。在使用上没有任何的影响和不适,而且坚固耐用。
瓷嵌体:颜色逼真度高,但对医生的制作要求高,使用不当有碎裂可能,较金属嵌体导热性低,深龋不易刺激牙髓组织。
超瓷嵌体:颜色较金属嵌体逼真,接近于牙齿颜色,超硬树脂材料。抗折强度和耐磨性不如金属嵌体。
嵌体可以理解为“为牙齿量身定制的修复体”, 在形态、硬度等各方面与牙齿吻合度很好,可以很好恢复原来牙齿的外形及咀嚼效率,这是传统补牙无论如何都无法比拟的。
洛阳德美口腔门诊部
河南省口腔医学会理事单位
洛阳市民营口腔协会副会长单位
郑州大学第一附属医院河南省口腔专科联盟单位
地址:洛阳市瀍河区南新安街85号
乘车路线:市内5、10、18、20、34路公交车洛阳东站下车即到
联系电话:0379-65989920 63789920 18637959920
QQ:3106525037
网址:www.lydmkq.com
扫一扫,口腔保健知识早知道
Copyright © 2023 All Rights Reserved 版权所有 九江牙医推荐联盟


